Diagnostik im I. Schwangerschaftsdrittel

Diagnostik im II./III. Schwangerschaftsdrittel

Genetische Diagnostik in der Schwangerschaft

Dopplersonographie / spezielle Fragestellungen







Einführung

Bereits gegen Ende des I. Schwangerschaftsdrittels sind die kindlichen Organe ausgebildet und können mit feinauflösenden Ultraschallgeräten dargestellt werden. So können wir die für diesen Zeitpunkt typische Entwicklung Ihres Kindes bestätigen, viele schwere Fehlanlagen ausschließen und bei Auffälligkeiten entsprechend Ihren Wünschen das weitere Vorgehen planen.

Um eine Aussage über das Risiko für eine genetische Erkrankung Ihres Kindes zu erhalten, kann das sogenannte Ersttrimesterscreening durchgeführt werden.

Daneben ist es möglich, frühe Hinweiszeichen für mütterliche Schwangerschaftskomplikationen zu überprüfen. Sind diese gegeben, kann frühzeitig eine spezielle Behandlung begonnen oder die Schwangerschaftsüberwachung angepasst werden. Dies ist sowohl für Sie als Mutter als auch für Ihr Kind von großer Bedeutung.

I. Trimesterscreening /
Nackenfaltenmessung
(11+0 SSW – 13+6 SSW)


Nackenfaltenmessung
Blutfluss im Ductus venosus
3D-Untersuchung

Die Messung der kindlichen „Nackenfalte“ im Ultraschall zwischen 11+0 und 13+6 Schwangerschaftswochen ermöglicht – in Kombination mit dem mütterlichen Alter und den mütterlichen Blutwerten – eine Risikoabschätzung für das Vorliegen einer Trisomie 21, Trisomie 18, bzw. Trisomie 13. Durch eine weitere differenziertere Untersuchung des Kindes mit dem Ultraschall kann die Aussagekraft noch verbessert werden.

Folgende Parameter werden zur Risikoberechnung mittels eines Kalkulationsprogramms der Fetalmedicine Foundation London (www.fetalmedicine.com) benützt:

  • Alter der Schwangeren
  • Vorangegangene Schwangerschaft mit auffälliger Chromosomenanzahl (Trisomien)
  • Ultraschallbefunde des Feten (ungeborenen Kindes)
    • Dicke der Nackentransparenz („Nackenfalte“)
    • Länge des Nasenbeins
    • Muster des Blutflusses über einer Herzklappe (Trikuspidalklappe)
    • Muster des Blutflusses in einem fetalen Blutgefäßes (Ductus venosus)
    • frühe Organdiagnostik
  • Mütterliche Blutwerte (im Mutterkuchen = Plazenta gebildet)
    • PAPP-A
    • freies ß-HCG

  • Bedeutung / weiteres Vorgehen


Durch Kombination dieser Befunde kann Ihr individuelles Risiko für das Vorliegen einer Trisomie 21, Trisomie 18 oder Trisomie 13 in dieser Schwangerschaft berechnet werden. Die Entdeckungsrate hierfür liegt bei über 90%.

Das Ergebnis werden wir mit Ihnen gemeinsam besprechen. Ihre Wünsche bezüglich weiterer Diagnostik spielen nun eine zentrale Rolle. Wir werden Ihnen aufzeigen, welche weiteren diagnostischen Schritte möglich sind, und gemeinsam überlegen, ob diese in Ihrer persönlichen Situation sinnvoll sind.

Folgende weitere diagnostische Schritte kommen in Frage:
  • weiter beobachtendes Verhalten
  • invasive Eingriffe (Chorionzottenbiopsie, Amniozentese)
  • Bestimmung fetaler DNA im mütterlichen Blut
Bei jeder dieser Alternativen werden wir Sie gerne begleiten.


  • Zeitpunkt


Der beste Moment für die Messung der Nackenfalte und die genaue Untersuchung der Organe ist zwischen 12+0 und 13+0 Schwangerschaftswochen (SSW). Grundsätzlich ist eine Risikoberechnung nur zwischen 11+0 und 13+6 SSW möglich.

Die hierfür notwendige Blutuntersuchung erfolgt optimalerweise zwischen 9+0 und 11+0 SSW. Sie kann aber auch im Rahmen der Ultraschalluntersuchung vorgenommen werden.

Frühe Organdarstellung


12. Schwangerschaftswoche

Schon gegen Ende des ersten Schwangerschaftsdrittels sind alle kindlichen Organe angelegt. Auch wenn Sie keine Untersuchung zur Vorhersage des Risikos für eine genetische Veränderung (I. Trimesterscreening s.o.) wünschen, ist eine frühe Darstellung der Organe des Embryos sinnvoll, da hier schon viele schwere Entwicklungsstörungen ausgeschlossen werden können.

Zum jetzigen Zeitpunkt können bereits Gehirn, Herz, Zwerchfell, Magen, Bauchwand und Harntrakt sowie die Kopfkontur und die Extremitäten dargestellt werden. Einen „großen Ultraschall“ im 2. Drittel der Schwangerschaft kann diese Untersuchung allerdings noch nicht ersetzen.

Eine Ultraschalluntersuchung kann jedoch nie alle körperlichen Auffälligkeiten oder Entwicklungsstörungen und genetische Fehlanlagen aufdecken.

Präeklampsie-Screening


Blutfluss in mütterlichen Gefäßen

Präeklampsie ist eine Erkrankung, die sich bei ca. 2% der Schwangeren im Verlauf der Schwangerschaft entwickeln kann. Hierbei kommt es zu Bluthochdruck und Eiweißausscheidung im Urin, häufig begleitet von mangelhaftem Wachstum des Kindes. Falls die Präeklampsie früh in der Schwangerschaft (vor der 32. Schwangerschaftswoche) auftritt, ist eine intensivere Überwachung nötig.

Durch die Messung der Blutflussmuster über den mütterlichen Gefäßen kann – in Kombination mit den mütterlichen Hormonwerten, der mütterlichen Vorgeschichte sowie dem mütterlichen Blutdruck – das Risiko für eine Präeklampsie und eine Wachstumsstörung berechnet werden. Ergeben sich auffällige Werte kann durch spezielle Überwachung und vorbeugende Maßnahmen (Gabe von Acetylsalicylsäure-ASS) das Risiko für die Entstehung einer Präeklampsie und für eine Frühgeburt erheblich gesenkt werden.






Differenzierte weiterführende
Ultraschallfeindiagnostik

Im zweiten Drittel der Schwangerschaft wächst das Kind und die Organe reifen weiter, um schließlich zum Zeitpunkt der Geburt ihre Funktion übernehmen zu können. Bei diesem Reifungsprozess verändert sich nur noch die mikroskopisch erkennbare Feinstruktur der meisten Organe. Die im Ultraschall darstellbaren typischen Organstrukturen sind jetzt schon vorhanden. Nur das Gehirn wird sich in den folgenden Wochen noch bedeutsam verändern.

Daher ist das zweite Drittel der Schwangerschaft ein geeigneter Zeitpunkt, eine differenzierte Ultraschallfeindiagnostik vorzunehmen. Das Kind schwimmt in reichlich Fruchtwasser – ein guter Schall-Leiter!

In der 20. Schwangerschaftswoche ist das kindliche Herz etwa so groß wie eine Himbeere – und trotzdem können wir bereits die Kammern und Herzklappen und die zu- und abführenden Blutgefäße darstellen!

Weiterführender Organ-Ultraschall
Herz-Ultraschall (Echokardiographie)
Farbdoppler


Profil
Herz 4 Kammern
Herz Aortenbogen

Durch eine sehr spezielle Ultraschalluntersuchung können die kindlichen Organe eingehend untersucht werden. Hierbei wird ihre Struktur dargestellt und die Funktion (z.B. des kindlichen Herzens) überprüft. Eine Vielzahl von leichten und schweren Entwicklungsstörungen können hierbei ausgeschlossen werden.

Bei der fetalen Echokardiographie (Herz-Ultraschall) wird das Herz bis ins Detail dargestellt und untersucht (Wände, Kammern, Klappen, Blutgefäße und die Beweglichkeit des Herzens); hierfür wird zusätzlich die farbkodierte Dopplersonographie angewandt, welche die Blutflussrichtung sichtbar macht.

Eine Ultraschalluntersuchung kann jedoch nie alle körperlichen Auffälligkeiten oder Entwicklungsstörungen und genetische Fehlanlagen aufdecken.


  • Bedeutung / weiteres Vorgehen


Durch die frühzeitige Diagnostik können Sie die weitere Betreuung Ihrer Schwangerschaft individuell gestalten und bei Besonderheiten die Wahl der Geburtsklinik in Ruhe treffen. Das Risiko für unerwartete Komplikationen kann so vermindert und ihr neugeborenes Kind optimal versorgt werden.

Bei Auffälligkeiten werden wir ausführlich ihre Bedeutung besprechen und gemeinsam überlegen, welche weiteren Schritte sinnvoll und möglich sind (z.B. weiterführende Untersuchungen oder Therapien). Gegebenenfalls werden wir Kontakte zu spezialisierten Kinderärzten, Beratungsstellen und – falls gewünscht – Familien mit ähnlichen Erfahrungen vermitteln.


  • Zeitpunkt


In der Regel wird diese Untersuchung in der 20. bis 22. Schwangerschaftswoche durchgeführt. Bei auffälliger Vorgeschichte kann ein früherer Zeitpunkt sinnvoll sein, bei Komplikationen im Schwangerschaftsverlauf ein späterer.

3D/4D-Ultraschall


3D-Ultraschall

Eine 3D- oder im Live-Bild 4D-Aufnahme lässt die Herzen vieler Eltern höher schlagen – zum ersten Mal können Sie sich ein lebensnahes Bild oder eine „Live-Aufnahme“ von ihrem Kind ansehen! Die Ultraschallbedingungen werden aber nicht von jedem Kind perfekte Porträts ermöglichen: Es muss ausreichend Fruchtwasser vorhanden sein, es dürfen weder Hände noch Nabelschnur vor dem Gesicht sein – und Ihr Kind muss uns ansehen!

Es gibt aber auch eine Reihe von medizinischen Gründen für die Anwendung von 3D-/4D-Ultraschall.

Im 3D- oder 4D-Ultraschall wird die Ebene durch das Ultraschallgerät rekonstruiert, die durch die einfache 2D-Sonographie nicht darstellbar ist. Dies kann bei ungünstigen Kindslagen notwendig sein. Am Kopf oder Herz des Kindes ist der 3D oder 4D-Ultraschall oft hilfreich um die kleinsten, verborgenen Strukturen darzustellen. Aber auch eine Aufsicht auf Gesicht und Körper kann notwendige Informationen liefern.






Einführung

Die Erbinformationen eines Menschen sind in jeder seiner Körperzellen verschlüsselt. Das sind unzählige Gene, die in „Päckchen“ auf 46 Chromosomen organisiert sind. Dabei handelt es sich um 23 Chromosomen- paare. Die 2 Chromosomen eines Paares enthalten immer Gene zum selben „Thema“, die aber unterschiedlich ausfallen können. Das letzte der 23 Paare ist wohl das bekannteste: entweder X und X, oder X und Y – die Geschlechts-Chromosomen, die das Geschlecht des Kindes festlegen.

Wenn genetische Störungen auftreten, können entweder ganze Chromosomen fehlen oder doppelt vorhanden sein, Teile von ihnen oder nur einzelne Gene betroffen sein. Daher wird auch – je nach der Fragestellung einer genetischen Untersuchung – die Anzahl und Struktur der Chromosomen oder die Ausprägung einzelner Gene untersucht.

Erbmaterial des Kindes findet sich schon sehr früh in der Schwangerschaft in ganz geringen Mengen sogar auch im Blut der Mutter.

Invasive Diagnostik in der
Schwangerschaft


Chromosomen
Farbmarkierte Chromosomen – FISH-Test

Um eine direkte Aussage über die kindliche Erbinformation zu erlangen, können kindliche Zellen genetisch untersucht werden. Diese Zellen können aus Fruchtwasser oder Chorionzotten (=Plazenta oder Mutterkuchen) gewonnen werden. Je nach Schwangerschaftswoche, Fragestellung und Lage der Gebärmutter bzw. des Mutterkuchens kann eine Fruchtwasseruntersuchung (=Amniozentese) oder eine Chorionzottenbiopsie vorgenommen werden.


  • Chorionzottenbiopsie / Punktion des Mutterkuchens


Bei der Chorionzottenbiopsie wird unter ständiger Ultraschallkontrolle mit einer sehr dünnen Nadel über die mütterliche Bauchdecke aus dem Mutterkuchen (Chorion, spätere Plazenta) eine geringe Menge Chorionzotten gewonnen.

Dieser Eingriff kann ab der 12. Schwangerschaftswoche durchgeführt werden.

Von den gewonnenen Zellen können solche, die gerade in Teilung sind, sofort beurteilt werden. Daher liegt das erste Ergebnis nach ca. 1-2 Tagen vor. Zusätzlich wird eine Zellkultur angelegt. Hierbei werden die gewonnenen kindlichen Zellen in einer Kultur gepflegt, bis sie sich teilen und so den Blick auf ihre Erbinformation freigeben. Dies kann 2-3 Wochen dauern.


  • Amniozentese / Fruchtwasseruntersuchung


Bei der Fruchtwasseruntersuchung wird unter ständiger Ultraschallkontrolle mit einer sehr dünnen Nadel durch die mütterliche Bauchdecke eingegangen und ca. 15 ml Fruchtwasser entnommen.

Dieser Eingriff wird erst ab der 16. Schwangerschaftswoche (frühestens ab 15+0 SSW) empfohlen, da vorher häufiger Komplikationen auftreten können.

Die gewonnenen kindlichen Zellen werden in einer Kultur gepflegt, bis sie sich teilen und so den Blick auf ihre Erbinformation freigeben. Dies kann 2-3 Wochen dauern. Für ein schnelleres Ergebnis (nach etwa 1-2 Tagen) können einzelne Chromosomen farbmarkiert und dann unter dem Mikroskop gezählt werden (FISH-Test). Da hierbei jedoch nicht alle Chromosomen dargestellt werden, wird zusätzlich immer noch eine Kultur angelegt. Der FISH-Test ist keine Leistung der Gesetzlichen Krankenkassen und muss daher, falls gewünscht, selbst getragen werden.

Untersuchung fetaler DNA
aus mütterlichem Blut


DNA (Chromosomenteilchen)

Die Untersuchung des kindliches Erbguts ist auch über eine Analyse des mütterlichen Blutes möglich.

Da sich im mütterlichen Blut auch frei schwimmende Bruchstücke von kindlicher DNA (Chromosomenteilchen) finden, können diese auch durch eine Blutabnahme von der Mutter untersucht werden. Hierbei handelt es sich um ein noch sehr neues Verfahren. Die kindlichen Bruchstücke können den 23 verschiedenen Chromosomenpaaren zugeordnet werden. Damit kann von der Menge des DNA-Materials der einzelnen Chromosomen auf ihre Anzahl geschlossen werden.

Zur Verfügung steht derzeit in Deutschland die Untersuchung der Anzahl der Chromosomen 21, 18 und 13, sowie der Geschlechtschromosomen. Der Test wird von verschiedenen Firmen angeboten. Es handelt sich nicht um eine Leistung der Gesetzlichen Krankenkassen. Auf Ihren Wunsch führen wir die Beratung und Blutabnahme bei uns in der Praxis durch.






Einführung

Die Versorgung des Kindes mit Sauerstoff und Nährstoffen erfolgt über Blutgefäße der Gebärmutter. Diese führen zum Mutterkuchen (=Plazenta), der fest an der Gebärmutterhöhle anliegt. Über die Plazenta werden so die versorgenden Stoffe zur Nabelschnur und schließlich zum Kind transportiert. Wir können an bestimmten Blutgefäßen dieses kindlichen Kreislaufs (in Nabelschnur, Gehirn, Leber) prüfen, ob es dem Kind gut geht – beim Erwachsenen würden wir Blutdruck messen! Ebenso können die Blutgefäße, die zur Gebärmutter führen, überprüft werden.

Die Geschwindigkeit des Blutflusses und der Widerstand in den Blutgefäßen lassen sich in der Doppler-Ultraschalluntersuchung messen.

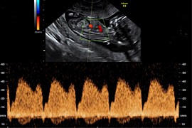
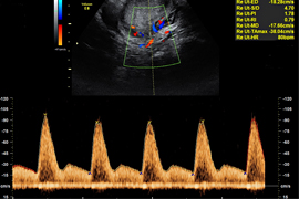
Dopplersonographie


Blutflussmessung

Bei der Dopplersonographie werden Blutgefäße dargestellt und die Strömungsgeschwindigkeit des Blutes gemessen. So können die zuführenden mütterlichen Gefäße (Gebärmutterarterien) und die kindlichen Gefäße (z.B. Nabelschnurarterien, Hirnarterien, Venen) untersucht werden. Hierdurch ist es einerseits möglich, eine Risikobewertung für eine Wachstumsstörung beim Kind oder für die Entwicklung mütterlicher schwangerschaftsbedingter Erkrankungen vorzunehmen. Andererseits kann das kindliche Wohlergehen bei Auffälligkeiten sehr zuverlässig bestätigt und überwacht werden.

Auffälligkeiten des kindlichen Wachstums


Wachstumsverlauf

Zur Klärung der Ursache bei Störungen des kindlichen Wachstums werden wir folgende Untersuchungen empfehlen bzw. vornehmen:
  • Dopplersonographie der mütterlichen Gefäße zur Überprüfung der Versorgung des Kindes
  • Untersuchung des mütterlichen Blutes auf Infektionen (z.B. Toxoplasmose, Zytomegalie)
  • Differenzierter Ultraschall zum Ausschluss von kindlichen Fehlbildungen
  • Abklärung des Risikos für genetische Erkrankungen
Im weiteren Verlauf sind evt. engmaschige Kontrolluntersuchungen sinnvoll. Die Überwachung des Wohlergehens Ihres Kindes erfolgt hierbei durch:
  • Ultraschalluntersuchungen zur Wachstumskontrolle des Kindes
  • Dopplersonographie (Blutflussmessung) der kindlichen Gefäße

Mütterliche Infektionen
(z.B. Toxoplasmose, CMV „Zytomegalie“,
Parvovirus B19 „Ringelröteln“)

Bei Nachweis einer mütterlichen Infektion im Schwangerschaftsverlauf können je nach Art der Infektion wiederholte Ultraschalluntersuchungen, Doppleruntersuchungen und ggf. eine invasive Diagnostik notwendig sein. Eine medikamentöse Therapie ist in speziellen Fällen empfohlen.

Blutgruppenunverträglichkeit

Bei Auftreten von Blutgruppenantikörpern kann durch Messung der Blutflussgeschwindigkeit eine Aussage zur Anzahl der roten Blutkörperchen des Kindes getroffen werden.